麦芽动态

爱美少女拔虎牙 缺牙空隙引后患

来源:麦芽口腔-医保定点-ICOI培训基地
赞: | 好评: | 阅读:

  爱美之心人皆有之,麦芽口腔在日常接诊中,经常会遇到为了变美备受牙齿困扰的患者,不久前,来自湖北的向女士就赶来了麦芽口腔向医生诉说了她的烦恼。

爱美心切 拔虎牙导致邻牙逐渐松动脱落

  爱美的向女士今年30岁,青春期时在母亲的陪同下,去了当地诊所拔除了一颗虎牙。拔牙之后,原虎牙的位置出现了空隙,但医生却没有给出任何处理方式和建议。久而久之,向女士拔牙后的两颗邻牙由于长时间的咀嚼和使用,开始逐渐松动、脱落。在麦芽口腔南山机构,向女士向医护人员讲述着自己的“缺牙史”……

  “那时候一心想变美,完全没想过拔牙还会损害其它牙齿的健康,而且被虎牙挡住的牙空隙较小,医生也没有给我任何意见。”据向女士自述,2017年,拔牙处的一颗邻牙已经脱落到只剩残根,咀嚼食物时还传来一阵阵酸痛,令她苦不堪言。


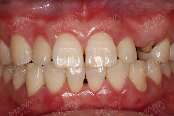
向女士牙齿情况

麦芽双博士邢晓建院长亲诊亲种

  麦芽口腔的专业医生为向女士做了口腔CT检查后,向她介绍了义齿修复的种类及优劣势。面对活动假牙、烤瓷桥还是种植牙的选择时,向女士权衡利弊后,决定做麦芽种植牙!


CT检查

向麦芽口腔南山机构业务院长邢晓建博士咨询

  会见了主诊专家——麦芽口腔南山机构业务院长邢晓建博士后,邢院很和善很耐心地与向女士交流,专业解答种牙疑虑,并为她量齿设计了微创即刻种植技术方案,对于邢院的手术,向女士满心期待。

  微创即刻种植技术,即是即拔即种,能快速恢复牙齿的咀嚼功能,极大节省治疗时间。经过专业的麻醉、消毒后,邢院为向女士拔除了残留的牙根,精准植入种植体,缝合、观察……手术时间很短,不到十分钟,种牙就结束了,术后,向女士更是一脸轻松:“种牙一点都不痛,种牙后的疼痛感也几乎为零。”

看牙种牙选麦芽 我放心

  对于这次种牙之旅,向女士有感而发:“当时只是花了20块钱去拔一颗牙,现在却要花十倍、百倍的时间和精力去弥补当时的问题,实在有点得不偿失。”所以,在此,向女士也呼吁大家:“看牙一定要选择有资质的机构和专业的医生!麦芽口腔拥有技术一流的好医生,环境也很温馨,还有科学、先进的仪器设备,医护人员的态度也非常认真,叮嘱了我好多种牙后的注意事项,就连服务人员也很热情……来这里看牙种牙我很放心,我的龋齿也会选择在麦芽治疗,以后家里人的牙齿问题就都交给麦芽了!”

相关链接:

  麦芽口腔将在5月23日举办第四期“公益种牙百叟宴”活动。届时,将邀百位缺牙人欢聚一堂共进午餐,听种牙名家分享护牙经、种牙人讲述种牙故事、抽种植体、品精美下午茶、共赏精彩节目表演……当天美齿全线8.5折,种植体种2送1,半口/全口无牙颌种植更高达50000元减免,3人同行还可再减800元/人,现场还有更多惊喜和优惠,缺牙的朋友千万不要错过了。

温馨提示:口腔健康问题,不要查看不专业的网站,不要问不专业的医生。

上一篇:5月23日麦芽邀百位缺牙人共进午餐

下一篇:麦芽《公益种牙百叟宴》完满落幕

    麦芽口腔连锁·品牌实力升级
    • 发表论文
    • 专家荣誉
    • 集团荣誉
    • 大咖题词