缺失一颗牙看似不起眼,实则关乎身体健康。吃饭咀嚼无力,牙龈红肿疼痛,长期喝粥吃流食营养跟不上,其他食物咀嚼不充分又会导致肠胃负担加重,消化吸收出问题。吃还是不吃,连累的都是自己的身体。尤其是对于身体状况不如年轻人的中老年人来说,长期缺牙不修复,体质下降,抵抗力差,生活质量提不上去,幸福感也是在一点点减少。

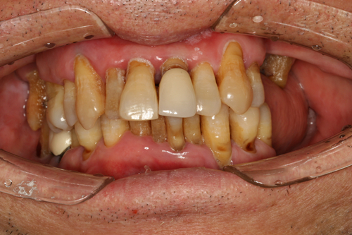
半口假牙
让郭老晚年生活黯然失色
人民日报资深记者郭灵声,是深圳老一辈的拓荒牛,原本性格开朗,生活无忧的郭老,却在退休后因为牙口不好饱受困扰。
老一辈的人,都没有什么口腔护理意识,郭老也不例外,十几年前就缺了牙,当时技术、条件都不好,不得已用上了活动假牙。作为传统的缺牙修复方式,活动假牙通过卡环“钩住”剩余牙齿固位稳定,咀嚼效果差,异物感强,长期磨耗容易老化变形,加速牙槽嵴的吸收萎缩,影响口腔健康。

没过几年,郭老的假牙就脱落了,在检查过程中又查出患有晚期牙周炎,经过拔牙、治疗后,仍然没有达到满意的效果,治疗后的牙冠还让他吃东西塞牙,食之无味,简单的一日三餐成了他的烦心事。

几经对比
麦芽全数字化精确种牙舒适更稳
为能乐享晚年幸福生活,郭老下决心一定要把牙齿问题解决好,种口好牙享口福。由于前期已受够牙齿的各种折磨,所以在面对再次选择时郭老特别慎重,郭老认为:“选对口腔机构很重要,选对一名优秀的、技术好的、负责任的口腔的医生更为重要,所以要对比医生的医德医技、对比口腔机构的设备、环境还有各项服务好不好,这些都是选择口腔机构的硬性标准,心里的一把尺”。几经对比、实地考察了解后,慎重的郭老最终选择了麦芽口腔。

通过一系列数字化口腔诊疗检查,麦芽博士种牙团根据郭老的口腔数据情况,为其量身制定了一套种牙方案。通过牙周综合治疗控制病情,提升远期种牙成功率,再结合数字化种植导板技术,降低牙槽骨需求量,提前设计好植体植入的角度、深度,以微创植入的方式,做到创口小,出血少,可以有效降低郭老术后不适感,康复速度更快,舒适稳固种好多颗牙。截至目前,麦芽全数字化精确种植牙已成功帮助数以万计的缺牙老人种享口福,乐享健康。

为进一步关爱湾区市民口腔健康,即日起,麦芽口腔全城征集疑难缺牙人,患有单颗、多颗牙缺失,半口、全口无牙或烤瓷牙修复失败、骨量不足、牙周情况复杂等疑难缺牙者均可点击下方预约报名,体验麦芽全数字化精确种植牙,预约成功可申领价值1250元的健康礼包一份!
想参与种牙、矫牙、美白修复项目还可专享以下特惠福利:
进口种植体特价4300元;
瑞典种植牙含冠6.6折;
青少年正畸特价6980元;
数字化正畸减免8000 元(限双膜、 隐适美、insignia精因矫正)
全瓷牙冠特价1980元
超薄全瓷贴面限时5.3折
欲了解更多详情:
网络咨询入口:
点这里
麦芽口腔官方咨询热线:0755-82339968
地址:
罗湖机构:罗湖区深南东路 2102号振华大厦顺电左侧
南山机构:南山区南山大道1153号天源大厦南山派出所旁
宝安机构:宝安区前进一路90号万悦格兰云天酒店二楼
数字化口腔种植学科专家组
由深圳二院原口腔科主任、国际种植医师学会院士郑苍尚教授领衔的数字化精确种植学科专家组,在种植领域有丰富的临床经验,获业内人士的广泛好评!
数字化口腔正畸学科专家组
由白明海、吴伯海等毕业于名校的正畸专才领衔,凝聚一批国际资质认证的矫正医师,运用数字化科技将医学与美学完满融合,在矫牙为您重塑美丽笑线和脸型!
数字化美学修复学科专家组
该学科组擅长运用系列数字化软硬件设备,为您精细比色、模拟牙体形态、塑造微笑曲线,将红白美学、咬合关系与缺损修复融为一体。
数字化牙周病学科专家组
由香港大学牙周病学博士李京平领衔的牙周病学科专家组,致力根据个体实际牙周情况设计治疗方案,运用数字化设备带来更为舒适精细的体验。
数字化儿牙治疗学科专家组
依托严格医生注入制度,麦芽打造一批深谙儿童心理与口腔状况的医生团队,致力带来更舒适的看牙体验,让未成年人告别看牙恐惧症,轻松拥有健康好牙。
麦芽口腔连锁·品牌实力升级